概述
肺癌是全球癌症相关死亡的主要原因之一。它是发生在肺部的恶性肿瘤,主要分为两大类:
- 非小细胞肺癌(NSCLC):占大多数患者,包括腺癌、鳞癌等亚型;
- 小细胞肺癌(SCLC):相对少见,但生长和扩散更快。
明确属于哪一类、哪一种亚型,对后续治疗的选择至关重要。
常见症状
早期肺癌可能没有明显不适;随着病情进展,可能出现:
- 长期咳嗽或原有咳嗽加重
- 反复呼吸道感染
- 咳血或痰中带血
- 胸痛或咳嗽时胸口疼
- 呼吸困难、乏力、食欲减退、体重下降
部分患者还可能出现声音嘶哑、吞咽困难、面颈部水肿,或手指(趾)末端变粗等表现。若出现上述情况,建议尽快就医检查。
诊断与分期
确诊肺癌通常需要多方面检查的综合判断。影像学检查(如胸部增强CT或PET-CT)能够评估肿瘤的部位、大小及是否存在淋巴结或远处转移;病理检查(包括支气管镜、经皮穿刺或手术取样)则是确诊肺癌的金标准,可明确肿瘤的组织学类型。与此同时,还会进行分子分型和免疫学检测(如EGFR、ALK基因变异及PD-L1表达),以指导后续的靶向治疗或免疫治疗选择。
除上述检查外,医生还会对疾病进行分期评估,从而制定更为精准、个体化的治疗方案。
肺癌的常见治疗方法
- 手术治疗:主要用于早期或局限期肺癌,是实现根治的首选手段。
- 放射治疗:适合部分不能接受手术的患者,也可在局部晚期或需要症状控制时发挥作用;精准放疗在部分早期病例中可获得接近手术的效果。
- 化疗:作为全身性治疗方式,常用于围手术期辅助治疗、局部晚期或转移性疾病的控制,是肺癌治疗的重要基础。
- 靶向治疗:对于携带特定驱动基因突变(如EGFR、ALK、ROS1、HER2等)的患者,靶向药物能够精准干预肿瘤的分子通路,显著改善疗效和生存期。
- 免疫治疗:通过免疫检查点抑制剂(如PD-1/PD-L1抑制剂)恢复免疫系统识别肿瘤的功能,已成为部分晚期或局部晚期患者的重要治疗选择。
为什么选择高博?
高博肺癌专家团队在临床实践与科研创新转化方面积累了丰富经验,取得了卓越成果。我们始终致力于推动诊疗与国际接轨,将最新科研突破快速转化为临床方案,帮助患者获得更长的生存期和更好的生活质量。对于每一位肺癌患者,我们不仅关注疾病本身,更关注全程照护与生活质量的提升。
多学科照护模式(MDC),从诊断到康复一路相伴
采用国际公认的MDC模式,由影像科、病理科、肿瘤内科、肿瘤外科、放疗科、介入治疗及支持团队共同协作。围绕每一位患者制定个体化治疗与照护方案,最大限度提升治疗效果与安全性。
创新药可及性强,前沿成果直达患者
高博团队积极引领创新药物研发与临床转化,助力多款抗癌新药在中国获批上市。通过高效引入国际前沿疗法,覆盖多种靶点与病种,让更多患者在第一时间用上最新药物,获得生存和生活质量的提升。
前沿临床试验与创新技术,拓展更多治疗可能
高博团队正积极开展多项国际同步的临床研究,为患者提供免疫、靶向等创新治疗选择。同时引入TIL疗法、类器官芯片等前沿技术,为传统治疗耐药或复发难治的患者开辟新路径,延续生命希望。
精湛外科手术与智能化平台,精准安全
高博外科团队已累计完成上千例高难度手术,能够灵活运用开放手术、微创腹腔镜、机器人辅助手术等多种手术方式,根据患者具体情况选择最合适的方案。依托数字一体化手术室和国际先进设备,实现术中影像共享、远程会诊与精细化操作,让每一台手术都成为患者康复的新起点。
精准放疗,兼顾疗效与生活质量
高博配备国际领先的放疗设备,结合精准定位和个体化方案,为不同分期的患者提供多种放疗选择。在有效控制肿瘤的同时,最大限度减少对正常组织的损伤,提高治疗舒适性和安全性。
我们的卓越成果
高博肺癌专家团队长期致力于推动肺癌诊疗的整体进步,不仅积极引领创新药物的研发与临床转化,成功助力多款新药在中国获批上市,还深度参与国际前沿多中心临床研究,让中国患者能够第一时间接触并受益于与全球同步的创新疗法。
同时,团队还在指南与共识的制定中发挥了重要作用,主导和参与了多部权威指南的撰写与更新,为临床实践提供了科学规范的参考,持续推动中国肺癌诊疗水平的提升。
这些努力不仅不断巩固了高博在肺癌诊疗领域的学术地位,更重要的是,让更多患者获得了更长的生存期和更高的生活质量。高博始终坚持以患者为中心,致力于让中国患者享受到与世界同步的先进治疗成果。
疗效数据来源于公开发表研究成果及本中心长期随访结果,仅供医学信息参考。具体疗效因个体差异、疾病类型及综合治疗策略而异,请遵循专业医生的评估与建议,制定适合您的个体化诊疗方案
患者案例
方先生,中国人,肺癌合并脑膜转移
62岁的方先生(化名)踏上抗癌征程已经五年。这期间,他的抗癌历程并非一帆风顺,而是充满了各种变数,从确诊时的状况,到后续多次治疗出现转折,都见证着他与病魔抗争的不易。
病情进展与病例转化:挑战接踵而来
2020年9月,方先生被确诊为肺腺癌且伴有EGFR 21外显子L858R突变。
面对这突如其来的噩耗,方先生迅速接受了治疗,化疗联合靶向治疗并辅以放疗。然而好景不长,2021年,方先生的病情出现了戏剧性的进展。二次活检结果如同晴天霹雳,他的病理类型发生了罕见的转化,从肺腺癌转变为小细胞肺癌伴神经内分泌癌。这种跨病理类型的转化在肺癌中极为罕见,仅占3%-5%[1]。
接下来的每一次治疗中,都伴随着新的挑战和副作用。在治疗期间,方先生出现了少见的免疫导致的III-IV级剥脱性皮炎,皮肤大片脱落,瘙痒难耐;心肌酶也明显升高,心脏承受着巨大的压力。同时,他还多次出现骨髓抑制,白细胞、血小板等指标急剧下降,治疗不得不暂停进行紧急处理。但他都凭借着惊人的毅力,一次次挺过了难关,尽管ECOG评分显示体力状态较差,他始终保持着继续治疗的决心和勇气。
脑膜转移与鞘内注射:绝境中的曙光
从最初的肺门及纵隔淋巴结转移,到后来的骨转移、脑转移(左颞叶/顶叶),再到肝转移,每一次转移都如同一次沉重的打击,迫使治疗方案不断“推倒重来”。每一次治疗方案的调整,都是对医患双方智慧和勇气的考验。
2025年3月,方先生的病情再次恶化,出现了肺癌脑膜转移,他陷入了意识模糊、全身瘫痪的状态,生活质量急剧下降。

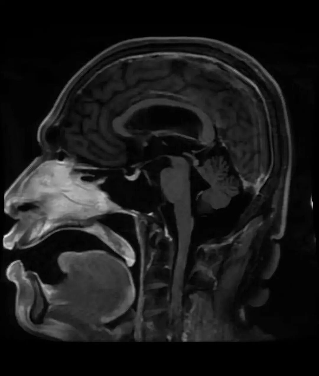
图:肺癌病例转变合并软脑膜转移
面对这样的绝境,高博医疗集团上海高博肿瘤医院的胸部肿瘤科李爽主任团队决定采用鞘内注射的治疗方法,即将药物直接注入脑脊髓液中,以控制颅内病灶。李爽主任向家属耐心解释:“肺癌如果出现软脑膜转移,颅内情况将是首要解决的主要矛盾。如果不及时控制,患者可能会出现癫痫、意识障碍,生存时间也会明显缩短。”在向家属详细解释了两种治疗方式——通过ommaya囊注射和传统腰穿注射的利弊后,考虑到手术风险和患者实际情况,家属选择了更为保守但同样有效的腰穿鞘内注射。

腰穿鞘内注射
图片来源:https://www.youtube.com/watch?v=tdLUcj8GcxY
治疗初期并不顺利,前两次鞘内注射时,由于方先生意识不清,无法配合体位要求,每次治疗都需要近一个小时,是正常时间的数倍。但医护团队没有放弃,他们耐心调整,温柔鼓励,每一次细微的进步都凝聚着团队的心血与希望。
令人惊喜的是,第一次鞘内注射后不久,他的意识就逐渐清醒起来。第三次治疗时,他已经能够主动询问治疗方案和副反应,甚至可以在搀扶下走路,生活逐渐恢复自理。

图:患者向医生询问治疗方案
“第一次鞘注做完,没过几天,意识状态已经完全清晰了,就像换了一个人。”他的妻子回忆道,眼中闪烁着泪光,但更多的是对未来的期许。
爱与信任的力量:家庭与医疗团队的共同支撑
虽然脑膜转移的危险暂时解除,但治疗并未就此停止。李爽主任强调,软脑膜转移的问题解决后,还需要关注颅外的症状控制,进行全身的系统治疗。方先生继续在医院接受多学科团队的治疗。
他的妻子跟我们说:“这里的医生,像家人一样照顾我们。我们有期待,心里总有一种感觉,就是会慢慢好起来的。”同时,方先生的家庭也给予了他无尽的支持和鼓励,家人陪伴他度过了无数个不眠之夜,为他提供了精神上的慰藉和力量。
我们相信,在未来的日子里,随着医学的不断进步和新药的研发应用,方先生和其他晚期肺癌患者将会拥有更多的治疗选择和生存希望,创造更多的生命奇迹。
(本文诊疗过程、文字、照片均已经患者授权发布,相关医学数据已做脱敏处理)







